
CLINICAL CASE
THE SITUATION
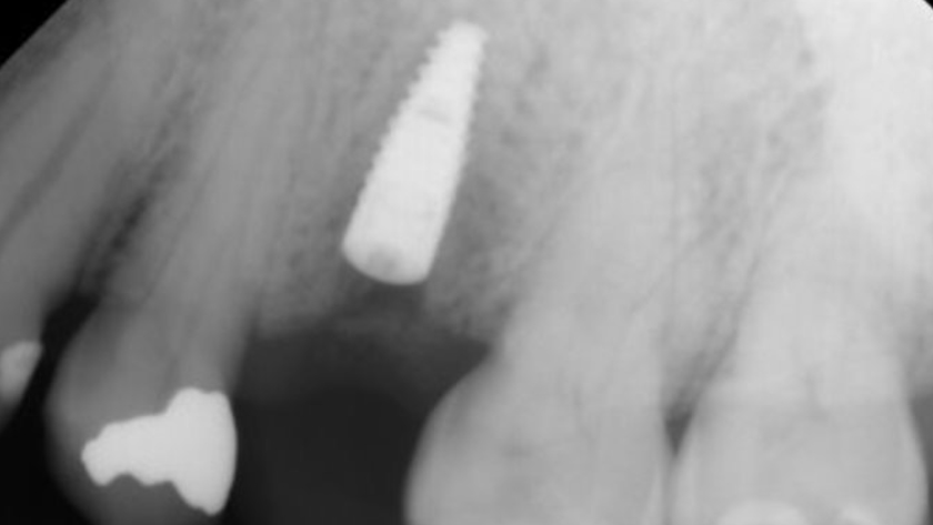
Tooth 13* required extraction in a 54-year-old male patient. The buccal bone was absent. Goal was to restore the site with an implant.
* Universal Numbering System
Disclaimer: Case images courtesy of a board-certified oral and maxillofacial surgeon (Los Angeles, CA, USA). Used with permission. Images are provided for illustrative and educational purposes only. Results are not guaranteed, and individual outcomes may vary depending on patient-specific circumstances and clinical factors. This information is for general educational purposes only and does not constitute medical advice, nor does it necessarily reflect the official position, opinion, or recommendations of Geistlich. Treatment decisions are made at the clinician’s discretion based on the unique needs of each patient.

